Local
06 de marzo de 2026 Página 2

El Club de Leones Salto Los Azahares continúa desarrollando diversas iniciativas solidarias orientadas a fortalecer el apoyo social, educativo y comunitario en distintas zonas del departamento.... + más
El 142 fue el primer número de la quiniela. ¿Qué salió en la quiniela nocturna de este jueves 5 de marzo? ¿Qué salió en la tómbola nocturna de este jueves 5 de marzo? Más noticias JUEGOS DE AZAR Resultados de la quiniela y tómbola vespertina del jueves 5 de marzo... + más

Una delegación vinculada a la campaña de recolección de firmas impulsada el año pasado para derogar el decreto que amplía el área urbana de Salto en 400 hectáreas fue recibida este miércoles en la Cámara de Representantes. La iniciativa contó con el respaldo de... + más

El Instituto Nacional de Carnes (INAC) informó recientemente sobre un caso en el que una persona realizó un pedido de carne a través de internet y posteriormente presentó una denuncia ante la sospecha sobre el origen y la especie del producto recibido.... + más

El grupo Concientizando Diabetes brindó una charla en la Clínica Municipal donde presentaron una bomba de insulina de última generación “Nano Touch”. La actividad fue dirigida a personas con diabetes y público en general para informar sobre las nuevas tecnologías... + más

El número de autos eléctricos en Salto y en todo Uruguay viene creciendo de forma exponencial en los últimos tiempos. Lo que hace poco parecía una tecnología lejana o exclusiva de otro continente hoy comienza a formar parte del paisaje cotidiano en calles, avenidas y... + más

La determinación se tomó después de una reunión entre los residentes de este barrio junto a autoridades de la Jefatura de Policía de Montevideo. Desde el ministerio contaron que si bien se realizan operativos en esta zona, a partir de este fin de semana se van a... + más
La advertencia meteorológica será actualizada a las 17:20 o ante cambios significativos. Según el organismo oficial del tiempo, la alerta obedece a una perturbación atmosférica asociada a masa de aire húmeda e inestable que afecta el país generando tormentas, algunas... + más

El reptilario Alternatus divulgó un video que fue enviado desde la ciudad de Juan Lacaze donde se visualiza una serpiente de coral. Las serpientes de coral son un grupo de reptiles altamente venenosos pertenecientes a la familia de los elápidos, conocidos por sus vibrantes... + más
Nuevo aniversario | El Profesional

Empresarios analizan políticas de frontera con autoridades del MEF Directivos de la Confederación Empresarial del Uruguay y del Centro Comercial e Industrial de Salto mantuvieron una reunión con el subsecretario de Economía, Ec. Martín Vallcorba, el Ec. Juan Labraga y su... + más

La Universidad de la República (Udelar) se prepara para celebrar una nueva edición de “Tocó Venir”, una propuesta pensada para recibir a quienes comienzan su etapa universitaria. El evento recorrerá distintas ciudades del país y combinará información académica,... + más

El observatorio brasileño Metsul emitió una alerta para Rio Grande do Sul y buena parte del Uruguay, por la posibilidad de tormentas intensas y vientos fuertes en la jornada de hoy y mañana sábado 7 de marzo. Para mañana, “el aumento de la presión atmosférica... + más

Tras el cierre de las festividades de Carnaval en nuestro departamento, el coordinador de Comunicación y Eventos, Juan Carlos Ambrosoni, realizó un balance sumamente positivo sobre el desarrollo de los eventos que integraron el calendario oficial, destacó el alto nivel... + más
La familia amiga es una iniciativa del INAU que busca que todos los menores puedan ejercer su derecho a vivir en familia cuando existen impedimentos para hacerlo con la familia de origen. Se trata de convocar a familias solidarias que reciban en forma transitoria al niño, niña... + más

El fuego consumió el local donde se almacenaban los productos consignados para rematar. La rematadora e influencer Yensi Marfetan Gonzalez relató que el siniestro comenzó cerca de las ocho de la mañana del domingo pasado. “A las ocho menos diez de la mañana arrancó el... + más

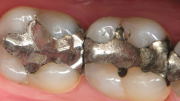
Las amalgamas dentales son una mezcla de mercado, plata, estaño, cobre y zinc, siendo el mercurio el componente más controvertido debido a sus potenciales efectos tóxicos. A pesar de su durabilidad y bajo costo, el contenido de mercurio genera preocupaciones sobre su... + más

Montevideo Portal El Instituto Nacional de Meteorología (Inumet) emitió una alerta amarilla por tormentas fuertes y lluvias abundantes producto de una perturbación atmosférica asociada a una masa de aire húmeda e inestable que afecta a Uruguay. Esto generará tormentas,... + más

En la edición de ayer La Prensa daba cuenta del riesgo inminente de cierre de la Escuela Rural N° 71 de Corral de Piedras, debido a que contaba con una sola alumna matriculada. La situación había generado preocupación entre vecinos y personas vinculadas a la educación... + más

En tiempos en que la tecnología permite preservar la memoria colectiva como nunca antes, ciudades del interior del país enfrentan un desafío que también es una oportunidad: rescatar su patrimonio cultural antes de que el paso del tiempo lo borre. Para Salto, una de las... + más

El mundo del caballo y las tradiciones criollas tendrá este fin de semana una nueva cita en Salto. La institución La Buena Rienda celebrará los días 7 y 8 de marzo la 11ª edición de la Fiesta de las Riendas.... + más
Los datos muestran un importante escepticismo entre los votantes uruguayos, tanto que el mismo sondeo señala que un 20% de los consultados cree que en 2029 va a aparecer una opción política alternativa que va a plantársele a los bloques del Frente Amplio y de la Coalición... + más

Bergara señaló en una entrevista con Informativo Carve que las definiciones, tanto técnicas como políticas, se tomarán en un ámbito de coordinación que hay entre el Ministerio de Transporte y Obras Públicas (MTOP), el de Economía y Finanzas (MEF) y las intendencias de... + más
Según informó el noticiero Telemundo (Canal 12), el adolescente vivía con su madre y su pareja. La madre del menor relató que, alrededor de las 21:00 horas del jueves, estaban en la vivienda cuando el hombre amonestó al joven “por tener malos modales con su madre”,... + más
Notibol. Desde 2006. Central de Noticias.
Notibol es un agregador informático de noticias y no es responsable del contenido de los enlaces a los sitios externos que generan las noticias.
Acerca de Notibol | Contacto | Política de Privacidad | Descargo de Responsabilidad